Interproximal, oclusal, panorâmica e periapical
Para cuidar bem da sua saúde bucal, o dentista precisa ver o que está escondido. As radiografias são como um “raio-X” dos seus dentes e ossos, e existem vários tipos para diferentes necessidades.
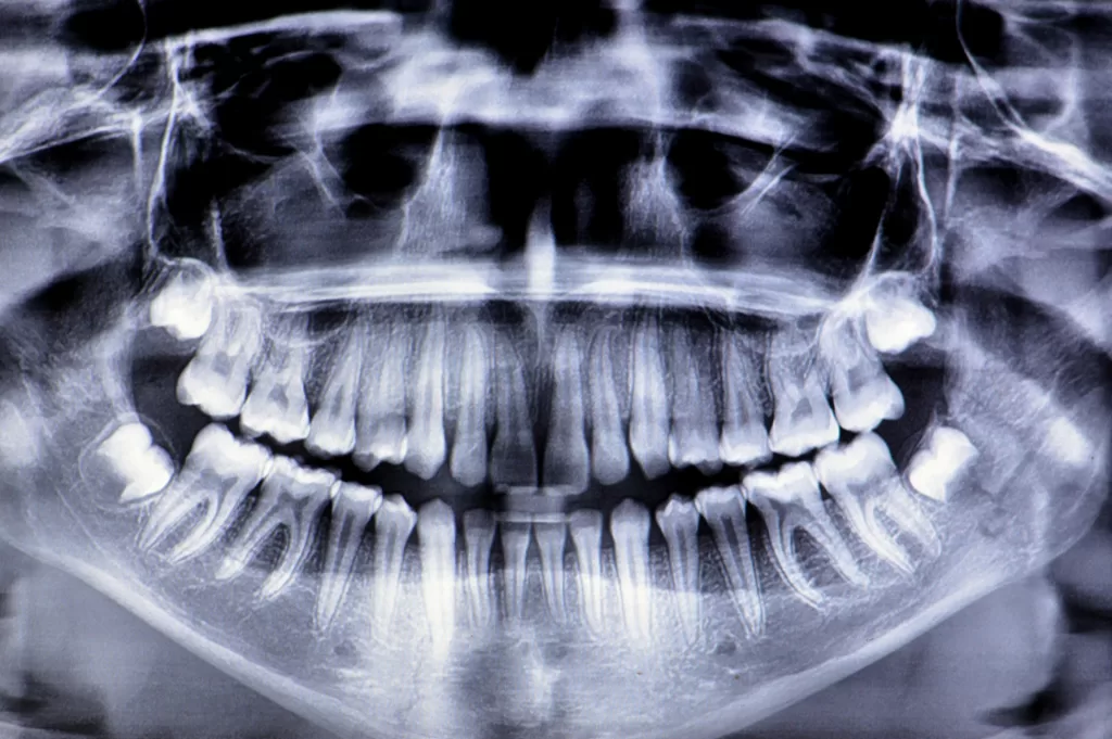
O que são radiografia interproximal – bite-wing, oclusal, panorâmica de mandíbula/maxila (ortopantomografia) e periapical?
Vamos entender as radiografias mais comuns:
- Radiografia interproximal – bite-wing: Essa radiografia é ótima para ver as cáries que se formam entre os dentes (nas superfícies de contato), que são difíceis de serem vistas a olho nu. Ela também mostra o nível do osso entre os dentes, ajudando a diagnosticar problemas na gengiva. O nome “bite-wing” vem da pequena asa de papel que o paciente morde para segurar o filme. Pode ser feita no consultório ou em clínica radiológica.
- Radiografia oclusal: Mostra uma área maior da arcada dentária (superior ou inferior) em uma única imagem. É usada para ver dentes inclusos (que não nasceram), cistos, fraturas ósseas, cálculos salivares e a relação entre os dentes e o osso. O filme é colocado dentro da boca e o paciente oclui (morde) sobre ele. Pode ser feita no consultório ou em clínica radiológica.
- Radiografia panorâmica de mandíbula/maxila (ortopantomografia): É uma radiografia que mostra uma visão geral de toda a sua boca em uma única imagem: todos os dentes (inclusive os que ainda não nasceram, como o siso), a mandíbula, a maxila, as articulações da mandíbula (ATM) e os seios da face. É excelente para um primeiro diagnóstico, para planejar tratamentos ortodônticos ou extrações de siso. Pode ser feita com ou sem traçado cefalométrico (medidas para ortodontia).
- Radiografia periapical: É uma radiografia pequena que mostra um ou dois dentes completos, desde a coroa até a ponta da raiz e o osso ao redor. É muito detalhada e usada para diagnosticar cáries, problemas no canal, infecções na ponta da raiz, fraturas e avaliar a saúde do osso ao redor do dente. Pode ser feita no consultório ou em clínica radiológica.
Quanto custa na rede particular?
Na rede particular, o custo dessas radiografias pode variar:
- Interproximal ou Periapical: De R$ 50 a R$ 150 por imagem.
- Oclusal: De R$ 80 a R$ 200.
- Panorâmica: De R$ 150 a R$ 400 (e mais se incluir traçado cefalométrico).
Importante: Estes valores são apenas estimativas e podem mudar bastante de um serviço para outro e de uma região para outra.
Como o plano Amil Dental cobre essas radiografias (panorâmica, telerradiografia, periapical…)?
A boa notícia é que todas essas radiografias (interproximal – bite-wing, oclusal, panorâmica de mandíbula/maxila, com ou sem traçado cefalométrico, e periapical, seja no consultório ou em clínica radiológica) são exames de diagnóstico fundamentais e, por isso, são totalmente cobertas pelo seu plano Amil Dental!
Com o plano, você tem a tranquilidade de poder realizar todos esses exames importantes sempre que seu dentista indicar, sem se preocupar com os custos. Isso garante um diagnóstico preciso e o planejamento adequado para o seu tratamento, preservando sua saúde bucal.
Invista no seu sorriso com a Amil Dental!
Não deixe que problemas escondidos comprometam seu sorriso. Com um plano odontológico, você tem acesso a diversos procedimentos essenciais para manter seu sorriso saudável e bonito.
Conheça os planos Amil Dental Individuais e garanta a sua tranquilidade!



